
골든타임이 없어 회복이 불가능하다고 알려진 ‘뇌출혈’은 한국에서만 1년에 2만4000여명에게 발생하고 있다. 그만큼 혈압 관리가 중요하게 대두되는데 원인부터 전조증상, 치료법까지 분당서울대병원 신경외과 이시운 교수와 알아보도록 한다.
◇ 뇌 손상되는 무서운 질환 ‘뇌출혈’…전조증상은 극심한 두통
중풍, 뇌졸중은 우리나라 기준으로 사망원인 3위를 차지하고 있다. 뇌졸중은 뇌출혈과 뇌경색으로 나누어진다.
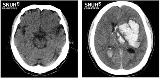
‘뇌출혈’은 뇌혈관이 파열되면서 뇌 안에 출혈이 발생하는 질환이고, ‘뇌경색’은 뇌혈관이 막혀서 뇌세포가 괴사하는 질환이다.
뇌출혈은 발생하는 순간부터 그 압력과 출혈 자체로 뇌가 손상되는 무서운 질환으로 한국에서는 1년에 약 2만 4000명 정도 발생하고 있다.
뇌출혈의 무서운 점은 뇌경색과는 다르게 전조증상이 없다는 점이다. 특별한 증상 없이 갑자기 발생하는데, 일반적으로 망치로 내려찍는 것 같은 극심한 두통으로 시작되는 경우가 많다. 두통이 심하지 않더라도 한쪽의 팔다리 마비와 의식이 흐려지는 증상이 동반되면 뇌출혈을 의심해야 한다.
◇ 고혈압성 뇌출혈, 한순간에 사망까지 이른다
뇌동맥류는 뇌혈관 일부가 비정상적으로 부풀어 오르는 질환으로 뇌출혈의 원인 중 30%를 차지한다.
풍선처럼 부풀면서 터질 수 있고 만약 터지게 되면 ‘지주막하출혈’이라는 심각한 뇌출혈을 일으킬 수 있다.
뇌동맥류는 건강검진을 통해 터지지 않은 상태로 많이 발견된다. 국내에서 발표된 수치로는 뇌동맥류가 터지기 전에 발견되는 경우는 1년에 약 6만명, 뇌동맥류가 터져서 발견되는 경우는 1년에 약 6500명 정도다.
또 ‘고혈압성 뇌출혈’도 주요 원인이다. 고혈압성 뇌출혈은 뇌동맥류나 동정맥기형(출혈성 질환)과 같은 뇌혈관질환이 없더라도 고혈압으로 인해 뇌 안의 모세혈관들이 터지면서 발생하는 질환이다.
이는 한순간에 반신 마비가 되거나 의식불명, 사망까지 이르게 할 정도의 무서운 질환이라서 주로 발생하는 부위가 있기는 하나, 뇌 전반적으로 발생할 수 있다.
그 밖에 동정맥기형, 모야모야병, 해면상혈관종 같은 뇌혈관질환이 원인이 돼 발생하는 뇌출혈도 있다.
‘외상성 뇌출혈’도 원인이 될 수 있는데, 말 그대로 낙상이나 교통사고 같은 두부외상으로 발생하는 뇌출혈이다. 앞서 설명한 비외상성 뇌출혈과는 출혈형태와 부위, 예후 측면에서 차이가 커 별개로 분류된다.

◇ 골든타임 없다…”최대한 빨리 병원 와야 최소한의 장애만”
뇌출혈이 발생한 순간부터는 빠르게 뇌 손상이 진행되고 그 이후에는 뇌부종과 재출혈로 악화할 수 있기 때문에 증상이 있으면 최대한 빨리 병원으로 와야 한다.
뇌경색은 막힌 혈관을 개통시킬 수 있는 골든타임이 있으나, 뇌출혈은 골든타임이 없다. 즉, 아무리 병원에 빨리 오더라도 회복이 불가능한 경우가 많다. 그렇다고 해도 최대한 빠르게 응급실에 가는 것이 최소한의 장애를 위한 유일한 방법이다.
검사를 통해 뇌출혈의 원인이 무엇인지 판단하고 치료가 결정된다. 치료의 목적은 두 가지인데, 당장의 출혈로 인한 뇌압상승을 수술하거나 약물로써 조절하는 것이 첫 번째다. 두 번째는 언제 발생할지 모르는 재출혈을 예방하기 위해 원인을 치료하는 것이다.
고혈압 뇌출혈은 출혈량이 많으면 머리를 여는 개두술을 통한 혈종제거술을 시행할 수 있다. 뇌동맥류가 원인인 경우는 재출혈을 막기 위해 ‘코일색전술’ 또는 개두술을 통한 뇌동맥류 ‘클립결찰술’을 할 수 있다.
고혈압성 뇌출혈이든 뇌동맥류 파열로 인한 뇌출혈이든 뇌부종이 심하고 뇌압이 높으면 두개골제거술을 우선 시행하고 추후에 부종이 가라앉으면 두개골을 다시 넣는 수술을 하기도 한다.
◇ 혈압 ‘130 미만’으로 조절해야…50세 이후부턴 검사는 미리!
뇌출혈 예방을 위해 가장 중요한 것은 바로 혈압 관리다. 자주 혈압을 검사하는 것이 좋은데, 혈압이 높을 때는 가까운 병원에서 혈압약을 처방받도록 해야 한다.
특히 뇌동맥류와 같이 뇌출혈의 원인이 되는 뇌혈관질환을 앓고 있다면 혈압을 130 미만으로 적극 조절하는 것이 중요하다. 무엇보다 금연과 절주가 중요하며 체중관리에도 늘 신경 쓰는 것이 좋다. 그밖에 당뇨, 고지혈증 조절 및 꾸준한 유산소 운동을 통해 뇌혈관을 건강하게 유지해야 한다.
50세가 넘어가면 전체인구대비 뇌출혈의 발생률이 증가한다. 따라서 50세 이후에는 MRA 또는 CTA 같은 뇌혈관검사를 미리 해보는 게 좋다. 검사를 통해 뇌동맥류와 같은 뇌혈관 질환을 발견한다면 사전에 관리할 수 있다.
특히 뇌출혈의 높은 원인을 차지하고 있는 뇌동맥류는 앞에서 말한 코일색전술 또는 클립결찰수술로 치료하면 완치에 가까운 예방 효과를 보일 수 있기 때문에 미리 발견하는 것이 굉장히 중요하다.
최근에는 혈류차단기기(flow-divertor), 혈류전환스탠트 또는 WEB 같은 시술 기술도 발전해서 뇌동맥류 치료가 더 용이해지고 있다. 처음 검사했는데 아무 문제가 없더라도 5~10년 간격으로는 찍어보는 것이 도움이 된다.






